Skip to content Skip to sidebar Skip to footer

Complex Breast Cyst Treatment

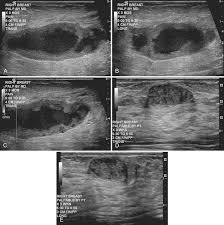
A Complex Cyst Of The Breast Moose And Doc

A Complex Cyst Of The Breast Moose And Doc

Complex breast cyst treatment. Not everyone is diagnosed with breast cysts and has treatment before pregnancy or childbirth. The use of ultrasound in breast diagnosis has resulted in the increasing identification of incidental benign-appearing lesions of which complex or atypical breast cysts are frequently reported. Breast cysts are common in young women but can be found at any age.

Recommendations for Complex Breast Cysts. This type of cyst is worrisome because it appears to have some solid tissue which could be cancerous. There is a very very small chance that a complex breast cyst could be associated with malignant breast cancer so they merit a higher degree of scrutiny.

If you have this type of cyst your healthcare provider will do a needle biopsy. A systematic review of the literature on sonographically detected complex breast cysts was carried. Most women with simple cysts go back to routine breast cancer screening.

Radiographic features Breast ultrasound. In most cases breast cysts do not require treatment unless they are large and painful or uncomfortable. Breast cysts do not require treatment unless a cyst is large and painful or otherwise uncomfortable.

They can also occur in postmenopausal women taking hormone therapy. If the cyst comes back it may be evaluated again with mammogram and ultrasound and it can be drained again. On ultrasound a complex breast cyst will basically be treated in terms of internal echoes presence or absence of posterior enhancement thin septations and a thickened or irregular wall.

The cyst can be then be drained with a fine needle. For simple cysts no treatment is needed unless the cyst is especially large uncomfortable or painful. But the results of the ultrasound can influence the strategy for follow-up evaluation or treatment.

At this time you cannot take immediate treatment because this will cause milk loss or shortage of milk for the baby. Complex Cystic Breast Masses Treatment A large cyst is drained using a needle.

Breast Cyst Fact Sheet Westmead Bci

Breast Cyst Fact Sheet Westmead Bci

Complex Cystic Breast Masses In Ultrasound Examination Sciencedirect

Complex Cystic Breast Masses In Ultrasound Examination Sciencedirect

Complex Cystic Breast Masses In Ultrasound Examination Sciencedirect

Complex Cystic Breast Masses In Ultrasound Examination Sciencedirect

Complex Cystic Breast Masses Diagnostic Approach And Imaging Pathologic Correlation Radiographics

Complex Cystic Breast Masses Diagnostic Approach And Imaging Pathologic Correlation Radiographics

Complex Cystic Breast Masses In Ultrasound Examination Sciencedirect

Complex Cystic Breast Masses In Ultrasound Examination Sciencedirect

Cystic Masses Of The Breast By Xiu

Cystic Masses Of The Breast By Xiu

Fine Needle Aspiration For Breast Biopsy Uses Side Effects Procedure Results

Fine Needle Aspiration For Breast Biopsy Uses Side Effects Procedure Results

Complex Cystic Breast Masses Diagnostic Approach And Imaging Pathologic Correlation Radiographics

Complex Cystic Breast Masses Diagnostic Approach And Imaging Pathologic Correlation Radiographics

Drainage Of Breast Cysts And Abscesses Plastic Surgery Key

Drainage Of Breast Cysts And Abscesses Plastic Surgery Key

Summerlin Breast Cyst Treatment Top Surgeon Dr Dasari

Summerlin Breast Cyst Treatment Top Surgeon Dr Dasari

Complex Cystic Breast Masses In Ultrasound Examination Sciencedirect

Complex Cystic Breast Masses In Ultrasound Examination Sciencedirect

Complex Cystic And Solid Breast Mass Radiology Reference Article Radiopaedia Org

Complex Cystic And Solid Breast Mass Radiology Reference Article Radiopaedia Org

Complex Cystic And Solid Breast Mass Radiology Reference Article Radiopaedia Org

Complex Cystic And Solid Breast Mass Radiology Reference Article Radiopaedia Org

Complex Cystic Breast Masses In Ultrasound Examination Sciencedirect

Complex Cystic Breast Masses In Ultrasound Examination Sciencedirect

Breast Fibroadenomas Symptoms Diagnosis Treatment

Breast Fibroadenomas Symptoms Diagnosis Treatment

Breast Cysts Not Always Just A Simple Cyst Halza

Breast Cysts Not Always Just A Simple Cyst Halza

Complex Breast Masses Is There An Echo In Here

Complex Breast Masses Is There An Echo In Here

Simple Breast Cyst Radiology Reference Article Radiopaedia Org

Simple Breast Cyst Radiology Reference Article Radiopaedia Org

Complex Cystic Breast Masses Diagnostic Approach And Imaging Pathologic Correlation Radiographics

Complex Cystic Breast Masses Diagnostic Approach And Imaging Pathologic Correlation Radiographics

Jy Seror Breast Cyst Benign Or Malignant Jfim Hanoi 2015

Jy Seror Breast Cyst Benign Or Malignant Jfim Hanoi 2015

Breast Cyst Fact Sheet Westmead Bci

Breast Cyst Fact Sheet Westmead Bci

Complex Cystic Breast Masses In Ultrasound Examination Sciencedirect

Complex Cystic Breast Masses In Ultrasound Examination Sciencedirect

Breast Cyst Wikipedia

Breast Cyst Wikipedia

3

3

Breast Ultrasound Clinical Gate

Breast Ultrasound Clinical Gate

Complex Cystic And Solid Breast Mass Radiology Reference Article Radiopaedia Org

Complex Cystic And Solid Breast Mass Radiology Reference Article Radiopaedia Org

Breast Ultrasound Radiology Key

Breast Ultrasound Radiology Key

Breast Pathology Ultrasound

Breast Pathology Ultrasound

Complex Cystic Breast Masses Diagnostic Approach And Imaging Pathologic Correlation Radiographics

Complex Cystic Breast Masses Diagnostic Approach And Imaging Pathologic Correlation Radiographics

Jy Seror Breast Cyst Benign Or Malignant Jfim Hanoi 2015

Jy Seror Breast Cyst Benign Or Malignant Jfim Hanoi 2015

Complex Cystic Breast Masses Diagnostic Approach And Imaging Pathologic Correlation Radiographics

Complex Cystic Breast Masses Diagnostic Approach And Imaging Pathologic Correlation Radiographics

Complex Cystic Breast Masses In Ultrasound Examination Sciencedirect

Complex Cystic Breast Masses In Ultrasound Examination Sciencedirect

What Is A Breast Cyst Moose And Doc

What Is A Breast Cyst Moose And Doc

Breast Cysts With Masses Versus Breast Masses With Cysts Sonographic Sub Types Of Complex Breast Cysts With Pathologic Correlations Adebanke O S Halima A Suleiman L Nafisa B Mono Mh Ann Trop

Breast Cysts With Masses Versus Breast Masses With Cysts Sonographic Sub Types Of Complex Breast Cysts With Pathologic Correlations Adebanke O S Halima A Suleiman L Nafisa B Mono Mh Ann Trop

Breast Cyst National Breast Cancer Foundation

Breast Cyst National Breast Cancer Foundation

Breast Lump Information Mount Sinai New York

Breast Lump Information Mount Sinai New York

Illustrations Of Tn Breast Cancer With Complex Cystic And Solid Echo Download Scientific Diagram

Illustrations Of Tn Breast Cancer With Complex Cystic And Solid Echo Download Scientific Diagram

Pdf Management Of Complex Breast Cysts

Pdf Management Of Complex Breast Cysts

Cystic Masses Of The Breast By Xiu

Cystic Masses Of The Breast By Xiu

Breast Pathology Ultrasound

Breast Pathology Ultrasound

Complex Cystic Breast Masses In Ultrasound Examination Sciencedirect

Complex Cystic Breast Masses In Ultrasound Examination Sciencedirect

Breast Cysts Diagnosis And Treatment Mayo Clinic

Breast Cysts Diagnosis And Treatment Mayo Clinic

Breast Lump Removal Risk Factors Causes And Recovery

Breast Lump Removal Risk Factors Causes And Recovery

Detection And Evaluation Of A Palpable Breast Mass Mayo Clinic Proceedings

Detection And Evaluation Of A Palpable Breast Mass Mayo Clinic Proceedings

Breast Cyst Vs Cancer Differences Between Cysts And Tumors

Breast Cyst Vs Cancer Differences Between Cysts And Tumors

Breast Cyst Causes Types And Treatment Breast Care Center

Breast Cyst Causes Types And Treatment Breast Care Center

Should I Have My Benign Breast Cyst Removed Bav

Should I Have My Benign Breast Cyst Removed Bav

Breast Lump Removal Risk Factors Causes And Recovery

Breast Lump Removal Risk Factors Causes And Recovery

1

1

If the cyst comes back it may be evaluated again with mammogram and ultrasound and it can be drained again.

Breast cysts do not require treatment unless a cyst is large and painful or otherwise uncomfortable. On ultrasound a complex breast cyst will basically be treated in terms of internal echoes presence or absence of posterior enhancement thin septations and a thickened or irregular wall. A systematic review of the literature on sonographically detected complex breast cysts was carried. Management recommendations for complex cysts were 1-year follow-up in 13 patients 6-month follow-up in 148 sonographically guided aspiration in 82 aspiration with possible core biopsy in 62 and excisional biopsy in three. Your healthcare provider may want to perform a breast cyst aspiration or needle biopsy withdrawing fluid with a needle for analysis. Breast cysts dont require treatment unless a cyst is large and painful or uncomfortable. Not everyone is diagnosed with breast cysts and has treatment before pregnancy or childbirth. Complex breast cysts were estimated to be reported in approximately 5 of breast ultrasound examinations. Breast cysts can also be found in men although this is very rare.


They can also occur in postmenopausal women taking hormone therapy. Complex breast cysts were estimated to be reported in approximately 5 of breast ultrasound examinations. Radiographic features Breast ultrasound. Most women with simple cysts go back to routine breast cancer screening. Aspirating the fluid eliminates the lump. In that case draining the fluid from a breast cyst can ease symptoms. At this time you cannot take immediate treatment because this will cause milk loss or shortage of milk for the baby.

Post a Comment for "Complex Breast Cyst Treatment"