Skip to content Skip to sidebar Skip to footer

Vertebral Artery Occlusion Treatment Guidelines

Stroke Prevention By Endovascular Treatment Of Carotid And Vertebral Artery Dissections Journal Of Neurointerventional Surgery

Stroke Prevention By Endovascular Treatment Of Carotid And Vertebral Artery Dissections Journal Of Neurointerventional Surgery

Vertebral artery occlusion treatment guidelines. Patients with vertebral artery dissection VAD warrant admission and close neurologic monitoring until anticoagulation with warfarin is complete and patients clinical condition is stable. The condition is defined by inadequate blood flow to the rear section of the brain responsible for coordination vision balance consciousness and other necessary functions. The first-line treatment option of Rotational Vertebral Artery Occlusion.

A report of the American College of Cardiology FoundationAmerican Heart Association Task Force on Practice Guidelines and the American Stroke Association American Association of Neuroscience Nurses American Association of Neurological Surgeons American College. Endovascular treatment EVT is now considered the gold standard for select patient populations with anterior circulation stroke. And vertebral artery disease.

Anticoagulation with heparin followed by warfarin remains the treatment of. Symptomatic patients should at least be given an antiplatelet agent. 1 Most of the research has been concentrated on internal carotid artery ICA disease with sparse focus on the common carotid artery CCA.

None has developed further ischemia after the initial stroke and 4. Extracranial carotid circulation and its relationship with the neurologic system have been thoroughly studied over the last few decades. Elective surgical reconstruction is very rarely.

Vertebral artery occlusions fall under the umbrella of Vertebrobasilar Disease VBD otherwise known as Vertebrobasilar Insufficiency VBI. However data on the treatment of posterior circulation stroke are less clear. The optimal treatment for the non-acute intracranial vertebral artery occlusion NA-ICVAO in patients at high risk of stroke despite the best medical treatment remains unclear.

We performed a prospective observational study using a single stroke center registry to investigate the risk of recurrent stroke and vascular outcomes in patients with. Occlusion of the Vertebral or Basilar Artery Follow Up Analysis of Some Patients with Benign Outcome Louis R. Variable restenosis rates have been reported in the literature with small improvements demonstrated using drug eluting stents.

Magnetic resonance imaging has largely surpassed angiography as the imaging study of choice. Reference - ASAACCFAHA guideline on the management of patients with extracranial carotid and vertebral artery disease mnh 21471149 p aph 59955487 p a9h 59955487 p byh 59955487 p beh 59955487 p bmh 59955487 p cxh 59955487 p mdc 21471149 p Vasc Med.

2

2

Endovascular Treatment Versus Standard Medical Treatment For Vertebrobasilar Artery Occlusion Best An Open Label Randomised Controlled Trial The Lancet Neurology

Endovascular Treatment Versus Standard Medical Treatment For Vertebrobasilar Artery Occlusion Best An Open Label Randomised Controlled Trial The Lancet Neurology

Suggested Diagnostic Algorithm And Choice Of Antithrombotic Therapy Download Scientific Diagram

Suggested Diagnostic Algorithm And Choice Of Antithrombotic Therapy Download Scientific Diagram

Stenting For Symptomatic Vertebral Artery Stenosis Neurology

Stenting For Symptomatic Vertebral Artery Stenosis Neurology

Basilar Artery Occlusion Clinical Management And Therapy Sparaco Clinical Management Issues

Basilar Artery Occlusion Clinical Management And Therapy Sparaco Clinical Management Issues

Prognosis And Safety Of Anticoagulation In Intracranial Artery Dissections In Adults Stroke

Prognosis And Safety Of Anticoagulation In Intracranial Artery Dissections In Adults Stroke

Vertebral Artery Dissection Wikipedia

Vertebral Artery Dissection Wikipedia

Editor S Choice 2017 Esc Guidelines On The Diagnosis And Treatment Of Peripheral Arterial Diseases In Collaboration With The European Society For Vascular Surgery Esvs European Journal Of Vascular And Endovascular Surgery

Editor S Choice 2017 Esc Guidelines On The Diagnosis And Treatment Of Peripheral Arterial Diseases In Collaboration With The European Society For Vascular Surgery Esvs European Journal Of Vascular And Endovascular Surgery

Vertebrobasilar Artery Occlusion The Western Journal Of Emergency Medicine

Vertebrobasilar Artery Occlusion The Western Journal Of Emergency Medicine

Management Of The Vertebral Artery During Thoracic Endovascular Aortic Repair With Coverage Of The Left Subclavian Artery Zhu Journal Of Thoracic Disease

Management Of The Vertebral Artery During Thoracic Endovascular Aortic Repair With Coverage Of The Left Subclavian Artery Zhu Journal Of Thoracic Disease

Vertebral Artery Stenosis Studies Peripheral Brain

Vertebral Artery Stenosis Studies Peripheral Brain

Antiplatelet Treatment Compared With Anticoagulation Treatment For Cervical Artery Dissection Cadiss A Randomised Trial The Lancet Neurology

Antiplatelet Treatment Compared With Anticoagulation Treatment For Cervical Artery Dissection Cadiss A Randomised Trial The Lancet Neurology

Mechanical Thrombectomy In Subtypes Of Basilar Artery Occlusion Relationship To Recanalization Rate And Clinical Outcome Radiology

Mechanical Thrombectomy In Subtypes Of Basilar Artery Occlusion Relationship To Recanalization Rate And Clinical Outcome Radiology

Extracranial Carotid And Vertebral Artery Disease Oxford Medicine

Extracranial Carotid And Vertebral Artery Disease Oxford Medicine

Optimal Antiplatelet Therapy In Moderate To Severe Asymptomatic And Symptomatic Carotid Stenosis A Comprehensive Review Of The Literature European Journal Of Vascular And Endovascular Surgery

Optimal Antiplatelet Therapy In Moderate To Severe Asymptomatic And Symptomatic Carotid Stenosis A Comprehensive Review Of The Literature European Journal Of Vascular And Endovascular Surgery

Endovascular Treatment Of Vertebral Artery Stenosis Sciencedirect

Endovascular Treatment Of Vertebral Artery Stenosis Sciencedirect

Can The Risk Of Vertebral Artery Dissection Be Determined With Pre Manipulative Screening Rayner Smale

Can The Risk Of Vertebral Artery Dissection Be Determined With Pre Manipulative Screening Rayner Smale

Pdf Basilar Artery Occlusion Clinical Management And Therapy

Pdf Basilar Artery Occlusion Clinical Management And Therapy

Treating Vertebrobasilar Insufficiency Vertebrobasilar Artery Insufficiency Rotational Vertebral Artery Occlusion Syndrome Or Bow Hunter Syndrome Caring Medical Florida

Treating Vertebrobasilar Insufficiency Vertebrobasilar Artery Insufficiency Rotational Vertebral Artery Occlusion Syndrome Or Bow Hunter Syndrome Caring Medical Florida

Blogging Stroke Balancing Risk Benefit For Non Acute Vertebral Artery Occlusion Revascularization

Blogging Stroke Balancing Risk Benefit For Non Acute Vertebral Artery Occlusion Revascularization

Extracranial Carotid And Vertebral Artery Disease Oxford Medicine

Extracranial Carotid And Vertebral Artery Disease Oxford Medicine

Endovascular Treatment Of Vertebral Artery Stenosis Sciencedirect

Endovascular Treatment Of Vertebral Artery Stenosis Sciencedirect

Natural History Of Non Operative Management In Asymptomatic Patients With 70 80 Internal Carotid Artery Stenosis By Duplex Criteria European Journal Of Vascular And Endovascular Surgery

Natural History Of Non Operative Management In Asymptomatic Patients With 70 80 Internal Carotid Artery Stenosis By Duplex Criteria European Journal Of Vascular And Endovascular Surgery

1

1

Subclavian Artery Disease Diagnosis And Therapy The American Journal Of Medicine

Subclavian Artery Disease Diagnosis And Therapy The American Journal Of Medicine

Carotid Artery Stenosis Wikipedia

Carotid Artery Stenosis Wikipedia

Endovascular Management Of Vertebral Artery Disease

Endovascular Management Of Vertebral Artery Disease

2

2

Vertebral Artery Test Physiopedia

Vertebral Artery Test Physiopedia

Extracranial Carotid And Vertebral Artery Disease Oxford Medicine

Extracranial Carotid And Vertebral Artery Disease Oxford Medicine

Vertebral Artery Stenosis Springerlink

Vertebral Artery Stenosis Springerlink

Table 1 From Editor S Choice Management Of Atherosclerotic Carotid And Vertebral Artery Disease 2017 Clinical Practice Guidelines Of The European Society For Vascular Surgery Esvs Semantic Scholar

Table 1 From Editor S Choice Management Of Atherosclerotic Carotid And Vertebral Artery Disease 2017 Clinical Practice Guidelines Of The European Society For Vascular Surgery Esvs Semantic Scholar

Long Term Outcome Of Vertebral Artery Origin Stenosis In Patients With Acute Ischemic Stroke Bmc Neurology Full Text

Long Term Outcome Of Vertebral Artery Origin Stenosis In Patients With Acute Ischemic Stroke Bmc Neurology Full Text

Vertebrobasilar Stroke Overview Anatomy Of The Vertebral And Basilar Arteries Pathophysiology Of Vertebrobasilar Stroke

Vertebrobasilar Stroke Overview Anatomy Of The Vertebral And Basilar Arteries Pathophysiology Of Vertebrobasilar Stroke

Inadvertent Arterial Placement Of Central Venous Catheters Systematic Review And Guidelines For Treatment Journal Of Vascular And Interventional Radiology

Inadvertent Arterial Placement Of Central Venous Catheters Systematic Review And Guidelines For Treatment Journal Of Vascular And Interventional Radiology

Editor S Choice Management Of Atherosclerotic Carotid And Vertebral Artery Disease 2017 Clinical Practice Guidelines Of The European Society For Vascular Surgery Esvs European Journal Of Vascular And Endovascular Surgery

Editor S Choice Management Of Atherosclerotic Carotid And Vertebral Artery Disease 2017 Clinical Practice Guidelines Of The European Society For Vascular Surgery Esvs European Journal Of Vascular And Endovascular Surgery

Pdf Treatment Strategies For Basilar Top Syndrome Caused By Acute Vertebral Artery Occlusion

Pdf Treatment Strategies For Basilar Top Syndrome Caused By Acute Vertebral Artery Occlusion

Vertebrobasilar Artery Occlusion The Western Journal Of Emergency Medicine

Vertebrobasilar Artery Occlusion The Western Journal Of Emergency Medicine

Endovascular Therapy For Stroke Due To Basilar Artery Occlusion Nejm

Endovascular Therapy For Stroke Due To Basilar Artery Occlusion Nejm

Frontiers Vertebral Artery Compression Syndrome Neurology

Frontiers Vertebral Artery Compression Syndrome Neurology

Occipital Artery To Extracranial Vertebral Artery Anastomosis For Bilateral Vertebral Artery Stenosis At The Origin A Case Report Surgical Neurology International

Occipital Artery To Extracranial Vertebral Artery Anastomosis For Bilateral Vertebral Artery Stenosis At The Origin A Case Report Surgical Neurology International

Blunt Vertebral Vascular Injury In Trauma Patients Atls Recommendations And Review Of Current Evidence Shafafy Journal Of Spine Surgery

Blunt Vertebral Vascular Injury In Trauma Patients Atls Recommendations And Review Of Current Evidence Shafafy Journal Of Spine Surgery

2011 Asa Accf Aha Aann Aans Acr Asnr Cns Saip Scai Sir Snis Svm Svs Guideline On The Management Of Patients With Extracranial Carotid And Vertebral Artery Disease Circulation

2011 Asa Accf Aha Aann Aans Acr Asnr Cns Saip Scai Sir Snis Svm Svs Guideline On The Management Of Patients With Extracranial Carotid And Vertebral Artery Disease Circulation

2

2

The Society For Vascular Surgery Clinical Practice Guidelines On The Management Of Visceral Aneurysms Journal Of Vascular Surgery

The Society For Vascular Surgery Clinical Practice Guidelines On The Management Of Visceral Aneurysms Journal Of Vascular Surgery

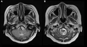
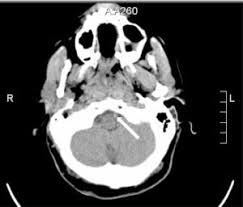
A Vertebral Artery Dissection With Basilar Artery Occlusion In A Child

A Vertebral Artery Dissection With Basilar Artery Occlusion In A Child

Bridging Versus Direct Endovascular Therapy In Basilar Artery Occlusion Journal Of Neurology Neurosurgery Psychiatry

Bridging Versus Direct Endovascular Therapy In Basilar Artery Occlusion Journal Of Neurology Neurosurgery Psychiatry

Spinal Cord Infarction Because Of Spontaneous Vertebral Artery Dissection Stroke

Spinal Cord Infarction Because Of Spontaneous Vertebral Artery Dissection Stroke

1

1

Vertebral artery occlusions fall under the umbrella of Vertebrobasilar Disease VBD otherwise known as Vertebrobasilar Insufficiency VBI.

Variable restenosis rates have been reported in the literature with small improvements demonstrated using drug eluting stents. Magnetic resonance imaging has largely surpassed angiography as the imaging study of choice. And vertebral artery disease. Even in May of 2020 it is still not very clear how to treat patients with stenosis of the vertebral artery. Reference - ASAACCFAHA guideline on the management of patients with extracranial carotid and vertebral artery disease mnh 21471149 p aph 59955487 p a9h 59955487 p byh 59955487 p beh 59955487 p bmh 59955487 p cxh 59955487 p mdc 21471149 p Vasc Med. 2011 Feb16135 correction can be found in Vasc Med. Extracranial carotid circulation and its relationship with the neurologic system have been thoroughly studied over the last few decades. One of the main causes for this stroke subtype is vertebral atherosclerosis. A report of the American College of Cardiology FoundationAmerican Heart Association Task Force on Practice Guidelines and the American Stroke Association American Association of Neuroscience Nurses American Association of Neurological Surgeons American College.


Reference - ASAACCFAHA guideline on the management of patients with extracranial carotid and vertebral artery disease mnh 21471149 p aph 59955487 p a9h 59955487 p byh 59955487 p beh 59955487 p bmh 59955487 p cxh 59955487 p mdc 21471149 p Vasc Med. However data on the treatment of posterior circulation stroke are less clear. SUMMARY Ten patients with angiographically verified occlusion of the basilar or vertebral artery have been followed for an average of 275 years. Occlusion of the Vertebral or Basilar Artery Follow Up Analysis of Some Patients with Benign Outcome Louis R. Variable restenosis rates have been reported in the literature with small improvements demonstrated using drug eluting stents. Endovascular treatment of vertebral artery stenosis VAS is a safe and effective technique for treating symptoms caused by posterior circulation ischemia with high technical and clinical success rates low complication rates and durable long-term results. Clinicians must carefully balance the risks of surgery versus the limitations of endoluminal intervention before proceeding.

Post a Comment for "Vertebral Artery Occlusion Treatment Guidelines"